


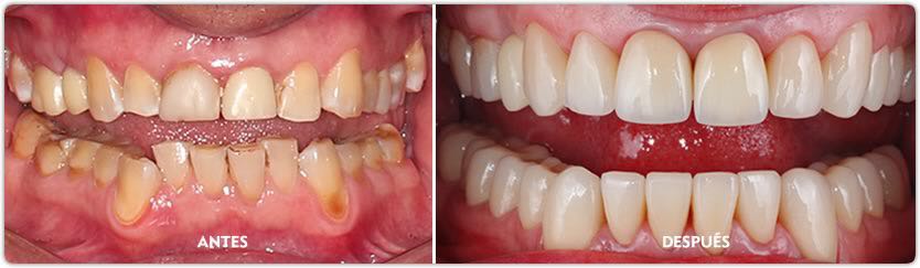
En el CENTRO ODONTOLÓGICO INTEGRAL realizamos tratamientos de rehabilitación oral con profesionalismo, teniendo en cuenta que desde épocas remotas el hombre ha sufrido la pérdida de sus piezas dentarias por caries, enfermedad periodontal (piorrea), fracturas o accidentes traumáticos o por un proceso de desgaste fisiológico en los tejidos del diente (esmalte y dentina).
Una vez que el individuo adulto ha completado su dentición permanente, lo que suele ocurrir aproximadamente entre los 20 y 25 años de edad, comienza un proceso de degradación y destrucción natural de su dentadura. Este proceso fisiológico de deterioro o envejecimiento progresivo de la dentición es conocido como “usura del trabajo”.


Los desgastes dentales producidos por el bruxismo o bruxomanía son conocidos como facetas de desgaste o bruxofacetas y son más evidentes en pacientes con una gran contextura física por la mayor potencia muscular desarrollada. Este desgaste masivo de las superficies oclusales da como resultado una disminución en la eficacia masticatoria del individuo, siendo necesario entonces aumentar el número de impactos masticatorios para poder dividir y fragmentar los alimentos en partículas pequeñas hasta formar el bolo alimenticio. El alimento que no puede ser fragmentado a nivel de la cavidad bucal deberá ser degradado por la acción de los jugos gástricos, produciéndose un cuadro de acidez (hiperclorhidria), dispepsia y regurgitación de los mismos hacia la cavidad oral.

Los síntomas más evidentes son dolor localizado o irradiado a la zona de la sien, dolor preauricular, fatiga y cansancio muscular al masticar (espasmo), limitación de la apertura bucal, apertura en dos tiempos, desviación de la línea media, ruidos articulares (crack o clic articular) por pellizcamiento del borde posterior del menisco interarticular, mareos, zumbidos (acúfenos), disminución de la agudeza auditiva (hipoacusia) y hasta la pérdida del equilibrio por sobrecompresión de estructuras del oído medio que se encuentran en estrecha relación de vecindad anatómica con los cóndilos articulares.

La terapéutica indicada para el cuadro mencionado se conoce como rehabilitación oral, que consiste en devolver al paciente las funciones orales perdidas: estética, fonética y masticatoria, sin olvidar por cierto el factor psicológico. Se trata de un tratamiento restaurador integral que combina los procedimientos técnicos, clínicos y el conocimiento acabado de todas las disciplinas odontológicas: prótesis, implantología, operatoria dental, periodoncia, endodoncia, cirugía, ortodoncia, etc.
El plan de tratamiento es determinado luego de un minucioso estudio de diagnóstico previo (análisis oclusal funcional), que constituye el paso previo o preliminar a las etapas de reconstrucción oral. El mismo consta de toma de impresiones (moldes), obtención de modelos de estudio (seccionados de Kennedy), montaje de los mismos en aparatología semiajustable o simulador de movimientos, confección de encerados de diagnóstico, desprogramador anterior o Jig de Lucía y opcionalmente placas de relajación neuromuscular, complementadas con radiografías seriadas periapicales, fotografías, etc.


En el Centro Odontológico Integral realizamos tratamientos dentales de alta calidad, en los que se emplean las placas de relajación neuromuscular, también llamadas placas orgánicas.
Son dispositivos intraorales generalmente de acrílico translúcido, que alojados sobre la arcada dentaria del maxilar superior, proveen una superficie plana de contacto para los elementos dentarios del maxilar antagonista, para provocar una ruptura en el mecanismo de propiocepción con que cuentan las piezas dentarias naturales, proporcionando relajación creciente y progresiva de la musculatura asociada a la ATM (articulación temporomandibular) que generalmente se encuentra contracturada, hipertónica y espástica con gran dolor que se irradia hacia las estructuras vecinas. Colocados convenientemente dentro de la cavidad oral, son perfectamente tolerados debido a su reducido diseño y mínimo espesor.
Constituyen elementos paliativos en la terapia oclusal y deben ser usados de forma permanente, sobre todo en los periodos de mayor estrés donde el paciente desarrolla un hábito pernicioso de apretamiento compulsivo que se evidencia mayormente durante la noche (en las horas de ensoñación profunda) llamado bruxismo. El mismo aumenta en periodos de gran tensión emocional: exámenes de estudio, pérdida del trabajo, separaciones, mudanzas, pérdida de un familiar cercano, entre otras.
Estudios clínicos han demostrado que debido al ritmo de la vida moderna, todos los individuos activos atraviesan por procesos de apretamiento compulsivo de su dentadura, lo que provoca un proceso de autodestrucción progresiva de su sistema gnático.
Con el uso regular de las placas orgánicas se evita el desgaste del tejido dental propio (esmalte-dentina) abrasionándose tan solo el material acrílico de las mismas, las cuales podrían ser reparadas o eventualmente reemplazadas. Estos dispositivos deberán usarse el mayor tiempo posible, salvo durante las comidas, evitándose retirarlas principalmente durante la noche.
También, están indicadas consecutivas a la culminación de tratamientos rehabilitadores orales extensos donde debe ser preservada la integridad del sistema. El paciente deberá ser instruido para no morder sobre la placa, ya que esto provocaría mayor contractura muscular y dolor articular, mentalizándose en lo posible a no tocar la placa con su lengua. El revestimiento interno de la placa con una base siliconada resulta muy ventajoso, ya que evita los dolores nocturnos producidos en las piezas dentarias por sobrecompresión de los ligamentos periodontales al proveer una base acolchada para su asentamiento en la arcada superior.
La limpieza de las placas se realiza con el uso de tabletas limpiadoras efervescentes Corega Tabs, dejando reposar la placa en un vaso con agua y colocando la pastilla hasta su completa disolución por un periodo de 30 minutos como mínimo. También se puede utilizar cualquier jabón cosmético y el auxilio de un cepillo pequeño de cerdas suaves, similar al usado para el lavado de calzados deportivos. La placa deberá tomarse con firmeza en la palma de la mano bajo un chorro de agua en el lavatorio, cuidando que esta no resbale al suelo, ya que por su fragilidad podría fracturarse.
Al cabo de algún tiempo la placa pierde su efectividad ya que se producen zonas de desgaste o abrasión en la superficie de la misma provocando el anclaje de las cúspides de la dentición antagonista en pequeñas fositas o depresiones del acrílico, impidiendo el libre deslizamiento de la mandíbula sobre ella. El profesional especialista evaluará la necesidad o no de reemplazarla por una nueva.